UNER NOTICIAS dialogó con Cecilia Cura, bioingeniera y docente de la Facultad de Bromatología, sobre el proyecto de investigación “Estudio del efecto en el suplemento de Calcio y vitamina D, en la oseintegración de implantes de titanio fotoactivados en roedores”, tarea que se encuentra en etapa de prueba aspirando a que los resultados del mismo puedan ser transferidos al área de salud pública y privada.
-Una investigación que podría arrojar resultados positivos para quienes tienen problemas óseos…Sí, es un proyecto multidisciplinario de investigación y desarrollo que se basa en el estudio del proceso de oseointegración (OI) de implantes de titanio y la influencia de aspectos biológicos/nutricionales e ingenieriles sobre éste. La integración del biomaterial al tejido óseo, determina el éxito clínico de los implantes y la recuperación de la funcionalidad perdida, lo que le aporta relevancia e interés aplicado a esta línea de investigación. La metodología planteada, basada en el aporte de un alimento suplementado en calcio y vitamina D, intentará favorecer la respuesta biológica (OI) en presencia del biomaterial a través de procedimientos de baja dificultad y bajo costo económico. Se espera poder brindar un beneficio en la calidad de vida de los pacientes con problemas óseos rehabilitados mediante prótesis implanto-soportadas.
-Se trabaja mucho con la rehabilitación en implantes de titanio…Precisamente, las fracturas de huesos osteoporóticos y los cambios degenerativos en las articulaciones son problemas de salud severos habituales. A pesar de que los implantes de titanio son, de preferencia, como anclajes en reemplazos de rodillas y caderas, la falla del implante debida a una unión incompleta entre el hueso y el titanio y el desprendimiento tardío en la interface, es un inconveniente crítico que compromete la predictibilidad del tratamiento. El titanio puro y sus aleaciones, son ampliamente utilizados en implantología oral debido a sus excelentes propiedades fisicoquímicas y biocompatibilidad.
-Especialmente en implantes bucales…Justamente, el éxito clínico a largo plazo de los implantes dentales se relaciona al contacto directo estructural y funcional entre el hueso y el implante, que se conoce como oseointegración (OI). Los implantes oseointegrados han sido un gran progreso en implantología oral y craneofacial, produciendo excelentes resultados funcionales, en contraste con los implantes cementados que generalmente han demostrado tasas de éxito muy bajas. El éxito de cualquier procedimiento de implantación, depende principalmente de varios componentes dentro de los que se incluyen la biocompatibilidad del material de implante, el diseño del implante y su superficie, la calidad y cantidad del tejido óseo, la técnica quirúrgica, el período de curación y las condiciones de carga del implante.
-¿Cómo participan la vitamina D y el calcio en el proceso de oseointegración?La vitamina D es bien reconocida puesto que tiene una participación muy importante en el desarrollo y mantenimiento del tejido óseo a lo largo de la vida. La mayor fuente de vitamina D en niños y adultos es la síntesis endógena por exposición a la luz solar y un menor porcentaje proviene de la ingesta de alimentos. Se ha demostrado que una dieta deficiente en vitamina D disminuye la relación de contacto hueso-implante y reduce la velocidad del proceso de OI.
Además, un estudio en ratas ha concluido que una dieta deficiente en vitamina D perjudica significativamente el establecimiento de la OI de implantes de titanio. Diversos autores han postulado que la insuficiencia de esta vitamina puede disminuir la actividad de remodelado óseo alrededor de implantes dentales y prolongar el tiempo requerido para lograr una OI adecuada. Por otro lado, el suplemento de vitamina D ha demostrado que presenta una ventaja significativa en la supervivencia de implantes en pacientes con enfermedad renal crónica, mejorando la relación de contacto hueso-implante y el volumen del hueso peri-implantario. Además, ha mejorado la fijación del implante en animales con diabetes mellitus y deficiencia de vitamina D. Se han reportado estudios en los que se administró diariamente calcio junto con vitamina D en adultos mayores, demostrando una disminución en las tasas de fractura ósea.
-Y con relación al tratamiento de superficie del biomaterial en la osteointegración, ¿cómo se trabaja?En los implantes de titanio las técnicas normales de manufactura usualmente producen una capa superficial oxidada y contaminada que generalmente se encuentra estresada y plásticamente deformada. Esta superficie nativa es inapropiada para aplicaciones biomédicas, por lo que deben realizarse tratamientos de superficie. Numerosos estudios de tratamientos de superficie de implantes y sus efectos sobre el comportamiento de células osteoblásticas, buscan determinar la superficie óptima que promueva la OI en la fase temprana de la curación. Recientemente se ha estudiado la bioactivación y fotofuncionalización del TiO2 como métodos para los tratamientos de superficie. Un estudio in vitro, muestra que el tratamiento de implantes de titanio con luz UV mejora la osteoconducción y OI del material.
Nota: se han desarrollado algunos estudios in vivo que revelan las ventajas de la radiación UV sobre el biomaterial, maximizando el contacto hueso-implante en superficies tratadas con luz UV. La radiación mediante luz UV por 48 horas, incrementó el volumen de hueso cortical en la región coronal de implantes de titanio colocados en fémur de conejos sin deterioro de la densidad mineral ósea. Asimismo, implantes tratados con ácido y posterior radiación UV exhiben una formación ósea sin intervención de tejido blando, maximizando el contacto hueso-implante hasta casi 100% a las 4 semanas de curación, mientras que el porcentaje para los implantes no irradiados fue del 50% aproximadamente. Una prueba biomecánica, demostró que el tratamiento con luz UV de implantes de titanio colocados en fémur de ratas aceleró la fijación ósea cuatro veces más.
Importante: todo el tratamiento con animales y el procedimiento quirúrgico, se realizaron de acuerdo a los lineamientos de la Directiva de la Unión Europea 2010/63/EU para el uso y cuidado de animales de laboratorio, así como bajo las normas Argentinas (RS617/2002, Servicio Nacional de Sanidad y Calidad Agroalimentaria, SENASA, Argentina). Todos los estudios cumplen con las guías ARRIVE, y se realizaron los esfuerzos necesarios para minimizar el sufrimiento de los animales y la cantidad de ejemplares utilizados.
-Finalmente la investigación transita etapas de pruebas…En términos generales, se logró llevar a cabo un protocolo de administración diaria de calcio y vitamina D en ratones a través del gavage gástrico, administrando una dosis equivalente al doble de la recomendada para humanos. Se consiguió obtener un implante con tratamientos superficiales de granallado y grabado ácido partiendo de un alambre de titanio; este imaplante fue posteriormente sometido al tratamiento de fotofuncionalización mediante radiación UVC por 24 horas. Además, se logró diseñar un protocolo quirúrgico para la colocación del implante de titanio producido en la diáfisis femoral de los ratones.
En tanto, se pudo observar que la cantidad administrada del suplemento de calcio y vitamina D no produjo cambios en los niveles de fosfatasa alcalina, calcio y fósforo plasmáticos. Por otra parte, no se encontraron diferencias significativas en la densidad del tejido alrededor del implante. Finalmente, para determinar si existen diferencias localizadas en el tejido circundante a los implantes de titanio que pudieron haber promovido la formación de tejido óseo, lo que resta es realizar la evaluación histológica de los bloqueos óseos correspondientes a los diferentes grupos experimentales, y determinar el área de crecimiento de tejido alrededor del implante.

Figura 1: RX, implante de titanio colocado en el fémur de ratón.

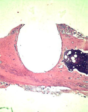
Figura 2: sección del tejido óseo peri-implantario. H&E, magnificación 100X.
Agradecimiento: al grupo del Laboratorio de Neurobiología Experimental y a los integrantes del proyecto quienes hacen que sea posible llevarlo a cabo; además a la odontóloga que facilitó las imágenes radiológicas que ilustran esta columna. Por otra parte, al Laboratorio de Bioimplantes de la FI-UNER por su apoyo y asistencia en la producción del material a implantar; y al Laboratorio Indabi de la ciudad de Gualeguaychú, quienes colaboraron en las determinaciones bioquímicas y pusieron a disposición sus equipos para el procesamiento histológico de las muestras.
Contacto: Bioingeniera Cecilia Cura
cecicura_4@hotmail.com